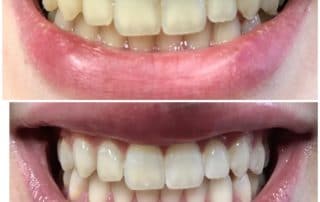
Restore Your Smile with a Dentist
Dentist North Bethesda MD As the saying goes, you are never fully dressed until you wear a smile. Therefore, a smile goes a long way in enhancing your self-confidence and eventually high-level performance. Everyone desires a perfect smile, but it does take a lot to maintain it. In this regard, when seeking to restore your smile, make sure you [...]







